
【梁育誠醫師】斷根智齒的影像評估與安全處置:一則臨床案例
有些牙齒,不是「忍一下就好」。
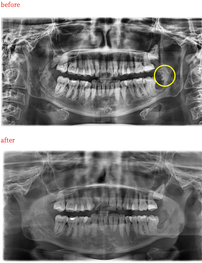
上週我接到一位外籍病患的諮詢,她在其他診所拔智齒時牙根斷裂,術後腫脹疼痛持續了將近五天。
對她而言,最焦慮的不只是疼痛,而是——她不能如期返美的時間,卻不知道這顆「拔不乾淨的牙」會不會影響後續行程。
在初診時,我先耐心了解她先前的治療經過與目前不適的狀況,仔細聆聽她的顧慮與擔心,並逐一回覆她提出的每一個問題。
在這個階段,我花了約30分鐘,全程以英文進行完整的資訊解說,確保她真正理解自己的狀況,而不是在緊張與恐懼中被迫做決定。
在確認她確實希望把問題一次解決之後,我才進一步向她說明拍攝電腦斷層(CBCT)的必要性,並解釋為什麼必須透過影像準確評估殘留斷根的位置,以及它與下齒槽神經等重要解剖結構的相對關係。
這樣的評估,能讓我們在手術前先規劃最佳處置方式,並在實際手術過程中避免傷及重要的組織結構,降低神經受損與術後併發症的風險。
同時,我也向她說明在拔除斷根後進行補骨的重要性,這不只是為了當下的癒合,更是為了讓未來的口腔結構維持穩定,避免產生長期問題。
在充分理解並同意治療計畫後,隔日早上我們安排了舒眠麻醉下的斷根智齒手術。
對這位已經歷過強烈疼痛、且對看牙產生極度恐懼的病患來說,舒眠麻醉的核心目的不是止痛,而是排除恐懼。
當恐懼被排除,病患不再因緊張而掙扎、抗拒或中斷治療,醫師才能在穩定、安全的狀態下,專注完成高難度的斷根處置。
在舒眠麻醉的輔助下,我順利完整處理先前未能拔除的斷根,並同步進行大範圍補骨,為後續癒合與長期穩定性打下基礎。
舒眠麻醉不是除了「讓病人睡著放鬆心情,降低焦慮」,更為了在複雜、鄰近神經、且伴隨高度恐懼因素的手術中,降低風險、提升精準度。
手術順利完成後,病患恢復狀況良好,也能如期於下週返美。
這正是我們在治療前反覆評估、縝密規劃的目的——不是只完成一場手術,而是確保病患的人生行程不被打亂。

如果你正因拔牙失敗、疼痛或恐懼而遲遲不敢處理問題,請記得:先被好好聽懂、再被好好治療,才是真正安全的醫療。
尊榮優植牙醫診所院長
問8 線上視訊諮詢
諮詢專業醫師的第二意見,確保您得到最適合的治療方案
您可能想知道
追蹤問8粉絲專頁


